Alessandro Donà | Giuseppe Porcellini | Valentina Passarino | Alberto Brigo | Andrea Giorgini | Gian Mario Micheloni | Rocco Bonfatti | Luigi Tarallo
Introduction
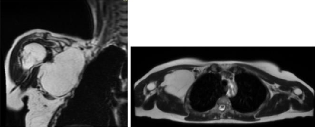
Lipomas are benign mesenchymal tumors and represent the most common type of soft tissue tumors [1]. Lipomas can occur at any age, but they are most commonly found in individuals between 40 and 70 years of age. There does not appear to be a significant gender predisposition. These tumors can arise in various anatomical locations, with the most common sites being the thigh, followed by the shoulder [2]. The etiopathogenesis of lipomas remains not fully understood. Some researchers suggest a genetic predisposition as a key factor in their development, while others hypothesize that trauma may play a central role [3]. Additionally, studies have found an association between lipomas and conditions such as diabetes mellitus and dyslipidemia [4]. Diagnosis of lipoma is typically made through a physical examination. Imaging studies (such as CT or MRI) or a biopsy may be needed to confirm the diagnosis and assess the nature of the lesion. Is important to consider differential diagnosis with malignant formations. A lipoma grows slowly and is benign. A liposarcoma is a malignant tumor that also originates from fat cells. Liposarcomas grow rapidly and they can invade surrounding tissues and spread to other parts of the body. Liposarcomas are rarer and more aggressive than lipomas [5]. The differential diagnosis is typically clinical, supported by ultrasound or Magnetic Resonance Imaging (MRI). Lipomas on MRI typically have well-defined, regular margins and homogeneous in appearance. Liposarcomas, on the other hand, tend to have irregular or indistinct margins and may invade surrounding tissues. A biopsy is rarely required, but may be performed if the tumor exhibits atypical features. In cases where lipomas cause pain and functional limitations, surgical removal may be necessary. However, their removal is not always straightforward. In some cases, lipomas can compress or infiltrate adjacent nerve structures. During surgical removal, it is important to avoid causing iatrogenic damage. Therefore, it is crucial to assess the potential involvement of nerves before surgery using electromyography and sometimes during the surgery with electrostimulation. In this study, we analyzed ten cases of atypical shoulder lipomas. All patients presented with symptomatic lipomas, resulting in pain, functional limitations, reduced range of motion (ROM) in the shoulder and impact on quality of life. All patients were treated with surgical excision, which remains the treatment of choice for symptomatic lipomas, as well as for cosmetic reasons.
Clicca sul pulsante sottostante per continuare nella lettura dell’articolo completo e visualizzare le immagini di approfondimento.



